Photos avant / après
lifting cervico facial
Après
Avantlifting de lèvre
Après
Avantlifting de lèvre
Après
Avantlifting de lèvre
Après
AvantGénioplastie
Après
AvantGénioplastie
Après
AvantGénioplastie
Après
AvantGénioplastie
Après
AvantBlépharoplastie
Après
AvantBlépharoplastie
Après
AvantLifting
Après
AvantRhinoplastie
Après
AvantChirurgie Reconstructrice
Après
AvantRhinoplastie
Après
AvantRhinoplastie
Après
AvantRhinoplastie
Après
AvantRhinoplastie
Après
AvantRhinoplastie
Après
AvantRhinoplastie
Après
AvantLifting cervico facial
Après
AvantLifting cervico facial
Après
AvantLifting cervico facial
Après
AvantLifting cervico-facial
Après
AvantOtoplastie
Après
AvantOtoplastie
Après
AvantOtoplastie
Après
AvantOtoplastie
Après
AvantOtoplastie
Après
AvantBlépharoplastie inférieur
Après
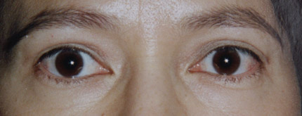
AvantBlépharoplastie oeil asiatique
Après
AvantBlépharoplastie homme
Après
AvantBlépharoplastie
Après
Avant